Wichtiger Sicherheitshinweis:
Pathorama wurde zwischen dem
26. und 27. Dezember 2025
angegriffen. Falls Sie die Website in diesem Zeitraum besucht haben, lesen Sie bitte die wichtigen Informationen hier:
Zur Information
Pathopic
HiPaKu
ZyPaKu
Projektinfos
PathoPic - Projekt- und Copyright-Info
About
Pathopic
HiPaKu
ZyPaKu
PathoPic – image database
/
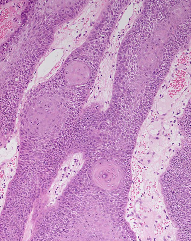
PathoPic ID 8065 - Irritierte seborrhoische Keratose
de
Diagnose
Irritierte seborrhoische Keratose
Diagnose Gruppe
benigner Tumor
Topographie
Haut, Rumpf
Topographie Gruppe
Haut
Beschreibung
Basaloide Zellstränge mit mehreren
Squamous Eddies und umgeben von ödematöser Dermis.
Klinik
Traumatisiertes Fibroma pendulans am Rücken.
Bilder Typ
Histologie
Vergrösserung
100
Alter
64
Geschlecht
männlich
Datum
Ersteintrag: 09.12.2004
Update: 22.08.2005
CPS
·
©
2025 Institut für Pathologie Basel
/
Dr. med. Katharina Glatz-Krieger
.
·
v2.2