Wichtiger Sicherheitshinweis:
Pathorama wurde zwischen dem
26. und 27. Dezember 2025
angegriffen. Falls Sie die Website in diesem Zeitraum besucht haben, lesen Sie bitte die wichtigen Informationen hier:
Zur Information
Pathopic
HiPaKu
ZyPaKu
Projektinfos
PathoPic - Projekt- und Copyright-Info
About
Pathopic
HiPaKu
ZyPaKu
PathoPic – image database
/
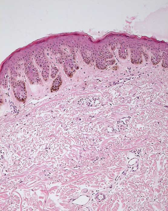
PathoPic ID 7839 - Solare Lentigo
de
Diagnose
Solare Lentigo
Diagnose Gruppe
organspezifische Erkrankung
Topographie
Haut, Kopf
Topographie Gruppe
Haut
Beschreibung
Unregelmässige keulenförmige Verlängerung der Reteleisten und basale Hyperpigmentierung ohne Vermehrung der Melanozyten. Solare Elastose. .
Klinik
Lentigo
Bilder Typ
Histologie
Vergrösserung
100
Alter
73
Geschlecht
unbekannt
Datum
Ersteintrag: 08.02.2004
Update: 30.08.2004
CPS
·
©
2025 Institut für Pathologie Basel
/
Dr. med. Katharina Glatz-Krieger
.
·
v2.2