Wichtiger Sicherheitshinweis:
Pathorama wurde zwischen dem
26. und 27. Dezember 2025
angegriffen. Falls Sie die Website in diesem Zeitraum besucht haben, lesen Sie bitte die wichtigen Informationen hier:
Zur Information
Pathopic
HiPaKu
ZyPaKu
Projektinfos
PathoPic - Projekt- und Copyright-Info
About
Pathopic
HiPaKu
ZyPaKu
PathoPic – image database
/
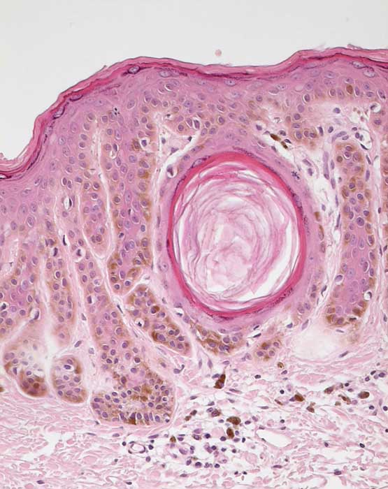
PathoPic ID 7838 - Retikuläre seborrhoische Warze
de
Diagnose
Retikuläre seborrhoische Warze
Diagnose Gruppe
organspezifische Erkrankung
Topographie
Haut, Kopf
Topographie Gruppe
Haut
Beschreibung
Zweireihige basaloide Stränge und Hornzyste.
Klinik
Lentigo
Bilder Typ
Histologie
Vergrösserung
200
Alter
73
Geschlecht
unbekannt
Datum
Ersteintrag: 08.02.2004
Update: 30.08.2004
CPS
·
©
2025 Institut für Pathologie Basel
/
Dr. med. Katharina Glatz-Krieger
.
·
v2.2