Wichtiger Sicherheitshinweis: Pathorama wurde zwischen dem 26. und 27. Dezember 2025 angegriffen. Falls Sie die Website in diesem Zeitraum besucht haben, lesen Sie bitte die wichtigen Informationen hier:
Zur Information

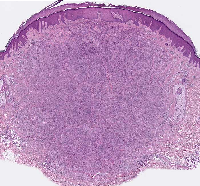
PathoPic – image database / PathoPic ID 7793 - fibröses Histiozytom

de
Diagnose
fibröses Histiozytom
Diagnose Gruppe
benigner Tumor
Topographie
Haut, obere Extremität
Topographie Gruppe
Haut
Beschreibung
Die Epidermis zeigt eine leichte Hyperkeratose und Akanthose. Von der Epidermis durch eine schmale Kollagenfaserschicht abgegrenzt findet sich in der Dermis ein zellreicher spindelzelliger kugeliger Tumor mit unscharfer Begrenzung.
Klinik
Derber Knoten am Oberarm
Bilder Typ
Histologie
Vergrösserung
25
Alter
27
Geschlecht
unbekannt
Datum
Ersteintrag: 07.01.2004
Update: 13.01.2004