Wichtiger Sicherheitshinweis: Pathorama wurde zwischen dem 26. und 27. Dezember 2025 angegriffen. Falls Sie die Website in diesem Zeitraum besucht haben, lesen Sie bitte die wichtigen Informationen hier:
Zur Information

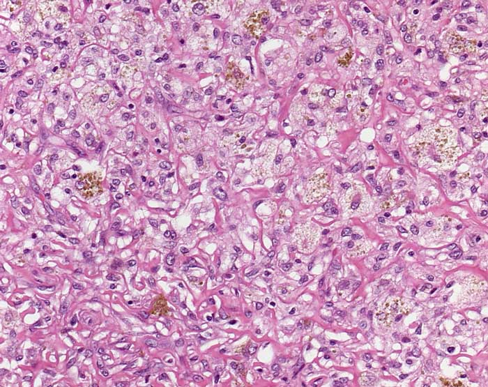
PathoPic – image database / PathoPic ID 7718 - Fett- und eisenspeicherndes Fibrohistiozytom

de
Diagnose
Fett- und eisenspeicherndes Fibrohistiozytom
Diagnose Gruppe
benigner Tumor
Topographie
Haut, untere Extremität
Topographie Gruppe
Haut
Beschreibung
Zwischen hyalinisiertern Kollagenfasern Gruppen von hellen Zellen mit reichlich schaumigem Zytoplasma. Ein Teil der Schaumzellen enthält zusätzlich braungelbe Sideringranula.
Klinik
Brauner eingesenkter Knoten am Oberschenkel
Bilder Typ
Histologie
Vergrösserung
200
Alter
25
Geschlecht
männlich
Datum
Ersteintrag: 04.01.2004
Update: 15.01.2004