Wichtiger Sicherheitshinweis:
Pathorama wurde zwischen dem
26. und 27. Dezember 2025
angegriffen. Falls Sie die Website in diesem Zeitraum besucht haben, lesen Sie bitte die wichtigen Informationen hier:
Zur Information
Pathopic
HiPaKu
ZyPaKu
Projektinfos
PathoPic - Projekt- und Copyright-Info
About
Pathopic
HiPaKu
ZyPaKu
PathoPic – image database
/
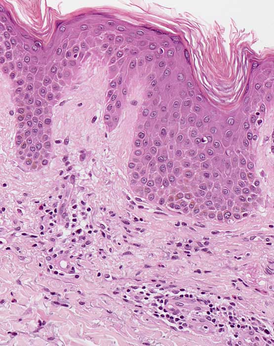
PathoPic ID 7602 - Chronisches Ekzem
de
Zeitverlauf
Diagnose
Chronisches Ekzem
Diagnose Gruppe
Entzündung / Reparatur
Topographie
Haut, Rumpf
Topographie Gruppe
Haut
Beschreibung
Kompakte Hyper-Orthokeratose. Unregelmässige psoriasiforme Epidermishyperplasie und diskrete Spongiose. Oberflächlich dermales perivaskulär betontes Entzündungsinfiltrat mit Beteiligung einzelner eosinophiler Granulozyten. Geringe Fibrose der papillären Dermis.
Klinik
Chronische Kontaktdermatitis.
Bilder Typ
Histologie
Vergrösserung
200
Alter
48
Geschlecht
unbekannt
Datum
Ersteintrag: 02.01.2004
Update: 27.01.2004
CPS
·
©
2025 Institut für Pathologie Basel
/
Dr. med. Katharina Glatz-Krieger
.
·
v2.2