Wichtiger Sicherheitshinweis:
Pathorama wurde zwischen dem
26. und 27. Dezember 2025
angegriffen. Falls Sie die Website in diesem Zeitraum besucht haben, lesen Sie bitte die wichtigen Informationen hier:
Zur Information
Pathopic
HiPaKu
ZyPaKu
Projektinfos
PathoPic - Projekt- und Copyright-Info
About
Pathopic
HiPaKu
ZyPaKu
PathoPic – image database
/
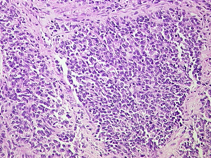
PathoPic ID 735 - Kleinzelliges Karzinom
de
Diagnose
Kleinzelliges Karzinom
Diagnose Gruppe
maligner Tumor
Topographie
Lunge
Topographie Gruppe
Lunge, Mediastinum mit Thymus
Beschreibung
Solide Platten von kleinen Tumorzellen mit sehr wenig Zytoplasma und teils runden, teils eckigen Kernen.
Zusatzbefund
Kleinzelliges Karzinom der Lunge als autoptischer Zufallsbefund. Lebermetastasen.
Klinik
St.n. Radio/Chemotherapie wegen Hypopharynxkarzinom.
Bilder Typ
Histologie
Alter
66
Geschlecht
männlich
Datum
Ersteintrag: 19.11.2001
CPS
·
©
2025 Institut für Pathologie Basel
/
Dr. med. Katharina Glatz-Krieger
.
·
v2.2