Wichtiger Sicherheitshinweis: Pathorama wurde zwischen dem 26. und 27. Dezember 2025 angegriffen. Falls Sie die Website in diesem Zeitraum besucht haben, lesen Sie bitte die wichtigen Informationen hier:
Zur Information

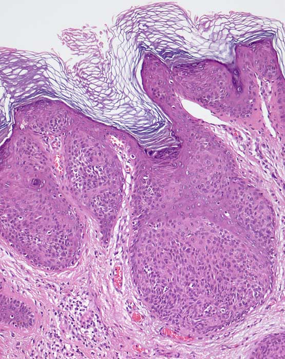
PathoPic – image database / PathoPic ID 7285 - Klonale seborrhoische Warze (Borst Jadassohn Phänomen)

de
Diagnose
Klonale seborrhoische Warze (Borst Jadassohn Phänomen)
Diagnose Gruppe
benigner Tumor
Topographie
Haut, Rumpf
Topographie Gruppe
Haut
Beschreibung
Hyperplastische Epidermis mit umschriebenen Epithelnestern.
Klinik
Seborrhoische Warze
Kommentar
Das Borst Jadasshon Phänomen mit intraepidermalen Nestern kann bei verschiedenen Tumorarten auftreten: Hidroacanthoma simplex (intraepidermales Porom), seborrhoische Warze, Morbus Bowen.
Bilder Typ
Histologie
Vergrösserung
100
Alter
68
Geschlecht
männlich
Datum
Ersteintrag: 23.12.2003
Update: 22.01.2004