Wichtiger Sicherheitshinweis:
Pathorama wurde zwischen dem
26. und 27. Dezember 2025
angegriffen. Falls Sie die Website in diesem Zeitraum besucht haben, lesen Sie bitte die wichtigen Informationen hier:
Zur Information
Pathopic
HiPaKu
ZyPaKu
Projektinfos
PathoPic - Projekt- und Copyright-Info
About
Pathopic
HiPaKu
ZyPaKu
PathoPic – image database
/
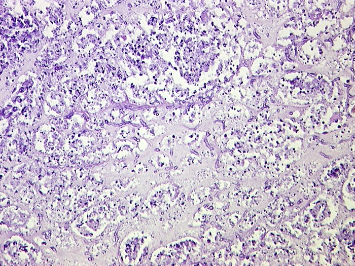
PathoPic ID 717 - Septisch embolische Nephritis: Aspergillussepsis
de
Diagnose
Septisch embolische Nephritis: Aspergillussepsis
Diagnose Gruppe
Entzündung infektiös
Topographie
Niere
Topographie Gruppe
Niere, Harnwege
Beschreibung
Nekroseherd im Nierenmark durchsetzt von Aspergillusmyzelien.
Zusatzbefund
Septische Herde in Haut, Nieren und Herz
Klinik
Chronische lymphatische Leukämie. St.n. Chemotherapie. Steroiddauertherapie.
Bilder Typ
Histologie
Alter
80
Geschlecht
männlich
Datum
Ersteintrag: 19.11.2001
CPS
·
©
2025 Institut für Pathologie Basel
/
Dr. med. Katharina Glatz-Krieger
.
·
v2.2