Wichtiger Sicherheitshinweis:
Pathorama wurde zwischen dem
26. und 27. Dezember 2025
angegriffen. Falls Sie die Website in diesem Zeitraum besucht haben, lesen Sie bitte die wichtigen Informationen hier:
Zur Information
Pathopic
HiPaKu
ZyPaKu
Projektinfos
PathoPic - Projekt- und Copyright-Info
About
Pathopic
HiPaKu
ZyPaKu
PathoPic – image database
/
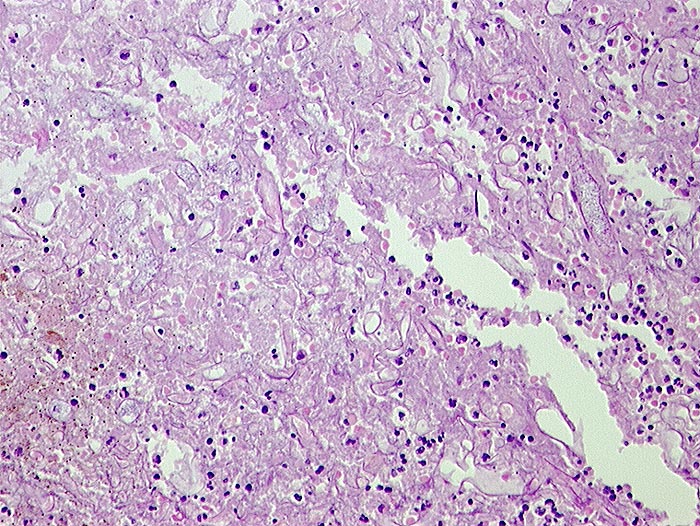
PathoPic ID 712 - Mukormykose (Zygomykose; Phycomykose)
de
Diagnose
Mukormykose (Zygomykose; Phycomykose)
Diagnose Gruppe
Entzündung infektiös
Topographie
Magen
Topographie Gruppe
Oesophagus, Magen
Beschreibung
Plumpe unregelmässig geformte nicht septierte Myzelien mit rechtwinkligen Verzweigungen. Im Hintergrund Detritus und Granulozyten aus Ulkusgrund.
Zusatzbefund
Magenulkus mit Mukorbesiedelung
Bilder Typ
Histologie
Alter
80
Geschlecht
männlich
Datum
Ersteintrag: 05.05.2002
CPS
·
©
2025 Institut für Pathologie Basel
/
Dr. med. Katharina Glatz-Krieger
.
·
v2.2