Wichtiger Sicherheitshinweis:
Pathorama wurde zwischen dem
26. und 27. Dezember 2025
angegriffen. Falls Sie die Website in diesem Zeitraum besucht haben, lesen Sie bitte die wichtigen Informationen hier:
Zur Information
Pathopic
HiPaKu
ZyPaKu
Projektinfos
PathoPic - Projekt- und Copyright-Info
About
Pathopic
HiPaKu
ZyPaKu
PathoPic – image database
/
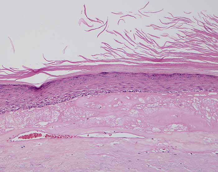
PathoPic ID 6862 - Chronische Radiodermatitis
de
Diagnose
Chronische Radiodermatitis
Diagnose Gruppe
Therapiefolgen
Topographie
Haut, Rumpf
Topographie Gruppe
Haut
Beschreibung
Hyperkeratose. Zellarme hyalinisierte Dermis. Teleangiektatische Gefässe.
Klinik
Fraktionierte Bestrahlung vor mehreren Jahren.
Bilder Typ
Histologie
Vergrösserung
100
Alter
75
Geschlecht
unbekannt
Datum
Ersteintrag: 29.11.2003
Update: 15.12.2003
CPS
·
©
2025 Institut für Pathologie Basel
/
Dr. med. Katharina Glatz-Krieger
.
·
v2.2