Wichtiger Sicherheitshinweis:
Pathorama wurde zwischen dem
26. und 27. Dezember 2025
angegriffen. Falls Sie die Website in diesem Zeitraum besucht haben, lesen Sie bitte die wichtigen Informationen hier:
Zur Information
Pathopic
HiPaKu
ZyPaKu
Projektinfos
PathoPic - Projekt- und Copyright-Info
About
Pathopic
HiPaKu
ZyPaKu
PathoPic – image database
/
PathoPic ID 684 - alpha-1-Antitrypsinmangel
de
Diagnose
alpha-1-Antitrypsinmangel
Diagnose Gruppe
Systemerkrankung/Immunpathologie
Topographie
Leber
Topographie Gruppe
Leber, Gallenwege, Pankreas
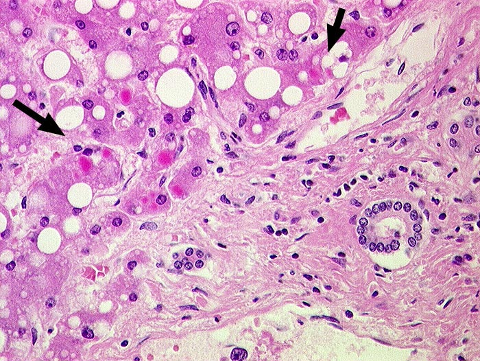
Beschreibung
►
Eosinophile Zytoplasmaeinschlüsse in periportalen Hepatozyten. Grobtropfige Verfettung.
Zusatzbefund
alpha-1 Antitrypsin Typ Piz
Bilder Typ
Histologie
Alter
84
Geschlecht
unbekannt
Datum
Ersteintrag: 15.11.2001
CPS
·
©
2025 Institut für Pathologie Basel
/
Dr. med. Katharina Glatz-Krieger
.
·
v2.2