Wichtiger Sicherheitshinweis:
Pathorama wurde zwischen dem
26. und 27. Dezember 2025
angegriffen. Falls Sie die Website in diesem Zeitraum besucht haben, lesen Sie bitte die wichtigen Informationen hier:
Zur Information
Pathopic
HiPaKu
ZyPaKu
Projektinfos
PathoPic - Projekt- und Copyright-Info
About
Pathopic
HiPaKu
ZyPaKu
PathoPic – image database
/
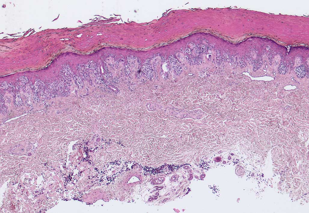
PathoPic ID 6733 - akrallentiginöses Melanom
de
Diagnose
akrallentiginöses Melanom
Diagnose Gruppe
maligner Tumor
Topographie
Haut, untere Extremität
Topographie Gruppe
Haut
Beschreibung
Leistenhaut mit sehr dicker Hornschicht. Breite melanozytäre Läsion mit Überwiegen von Einzelzellen in lentiginöser Ausbreitung.
Klinik
Unregelmässig pigmentierter 7mm grosser Tumor am rechten Grosszeh.
Bilder Typ
Histologie
Vergrösserung
25
Alter
76
Geschlecht
unbekannt
Datum
Ersteintrag: 11.11.2003
Update: 10.12.2003
CPS
·
©
2025 Institut für Pathologie Basel
/
Dr. med. Katharina Glatz-Krieger
.
·
v2.2