Wichtiger Sicherheitshinweis: Pathorama wurde zwischen dem 26. und 27. Dezember 2025 angegriffen. Falls Sie die Website in diesem Zeitraum besucht haben, lesen Sie bitte die wichtigen Informationen hier:
Zur Information

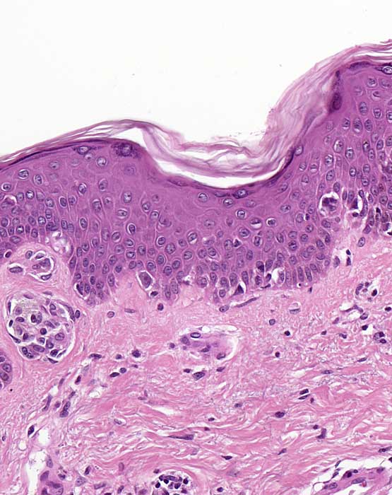
PathoPic – image database / PathoPic ID 6725 - naevoides Melanom: unscharfe laterale Begrenzung

de
Diagnose
naevoides Melanom: unscharfe laterale Begrenzung
Diagnose Gruppe
maligner Tumor
Topographie
Haut, Rumpf
Topographie Gruppe
Haut
Beschreibung
Die laterale Begrenzung des Melanoms ist unscharf. Die laterale Begrenzung wird gebildet durch atypische Einzelzellen und kleine Nester in unregelmässigen Abständen.
Bilder Typ
Histologie
Vergrösserung
200
Alter
52
Geschlecht
männlich
Datum
Ersteintrag: 10.11.2003
Update: 10.12.2003