Wichtiger Sicherheitshinweis: Pathorama wurde zwischen dem 26. und 27. Dezember 2025 angegriffen. Falls Sie die Website in diesem Zeitraum besucht haben, lesen Sie bitte die wichtigen Informationen hier:
Zur Information

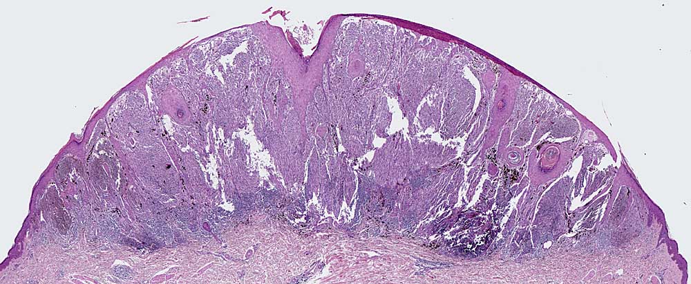
PathoPic – image database / PathoPic ID 6720 - spitzoides Melanom

de
Diagnose
spitzoides Melanom
Diagnose Gruppe
maligner Tumor
Topographie
Haut, Kopf
Topographie Gruppe
Haut
Beschreibung
Auffallend symmetrischer Tumor aus spindeligen Tumorzellen. Auf den ersten Blick erinnert die Läsion an einen Spitz Naevus. Die Pigmentverteilung ist jedoch asymmetrisch, die Tumorzellen bilden sehr zellreiche expansive Faszikel ohne dazwischenliegendes Stroma, die Epidermis ist fokal verdünnt.
Zusatzbefund
Nachweis zahlreicher Mitosen
Bilder Typ
Histologie
Vergrösserung
25
Alter
44
Geschlecht
männlich
Datum
Ersteintrag: 10.11.2003
Update: 10.12.2003