Wichtiger Sicherheitshinweis: Pathorama wurde zwischen dem 26. und 27. Dezember 2025 angegriffen. Falls Sie die Website in diesem Zeitraum besucht haben, lesen Sie bitte die wichtigen Informationen hier:
Zur Information

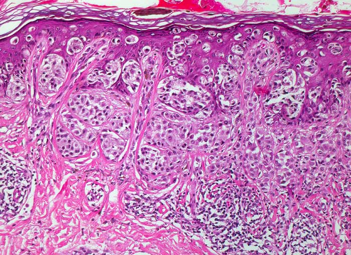
PathoPic – image database / PathoPic ID 6647 - oberflächlich spreitendes Melanom Clark Level III

de
Diagnose
oberflächlich spreitendes Melanom Clark Level III
Diagnose Gruppe
maligner Tumor
Topographie
Haut, Rumpf
Topographie Gruppe
Haut
Beschreibung
Atypische Melanozyten infiltrieren die Epidermis einzeln und in kleinen Nestern (backshot pattern). Die papilläre Dermis wird von Tumornestern vollständig ausgefüllt.
Klinik
Melanom SSM am Rücken
Bilder Typ
Histologie
Vergrösserung
100
Alter
68
Geschlecht
männlich
Datum
Ersteintrag: 30.06.2003
Update: 09.12.2003