Wichtiger Sicherheitshinweis: Pathorama wurde zwischen dem 26. und 27. Dezember 2025 angegriffen. Falls Sie die Website in diesem Zeitraum besucht haben, lesen Sie bitte die wichtigen Informationen hier:
Zur Information

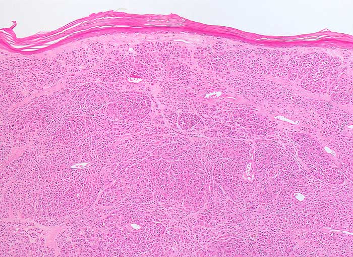
PathoPic – image database / PathoPic ID 6599 - noduläres malignes Melanom

de
Diagnose
noduläres malignes Melanom
Diagnose Gruppe
maligner Tumor
Topographie
Haut, Rumpf
Topographie Gruppe
Haut
Beschreibung
Vertikale Wachstumsphase eines malignen Melanoms vom nodulären Typ. Atrophe hyperkeratotisch verhorndende Epidermis. Die Tumorzellen bilden solide Knoten. Die Epidermis wird nicht infiltriert.
Klinik
Knotiger Tumor am Rücken
Bilder Typ
Histologie
Vergrösserung
50
Geschlecht
männlich
Datum
Ersteintrag: 08.04.2003
Update: 09.12.2003