Wichtiger Sicherheitshinweis:
Pathorama wurde zwischen dem
26. und 27. Dezember 2025
angegriffen. Falls Sie die Website in diesem Zeitraum besucht haben, lesen Sie bitte die wichtigen Informationen hier:
Zur Information
Pathopic
HiPaKu
ZyPaKu
Projektinfos
PathoPic - Projekt- und Copyright-Info
About
Pathopic
HiPaKu
ZyPaKu
PathoPic – image database
/
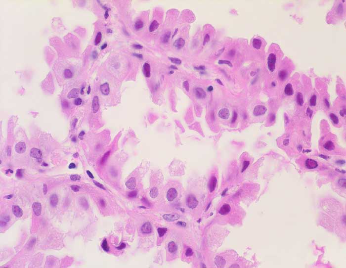
PathoPic ID 6577 - Nicht muzinöses Bronchioloalveoläres Karzinom
de
Diagnose
Nicht muzinöses Bronchioloalveoläres Karzinom
Diagnose Gruppe
maligner Tumor
Topographie
Lunge
Topographie Gruppe
Lunge, Mediastinum mit Thymus
Beschreibung
Die dünnen Alveolarsepten werden von hochprismatischen Zellen mit Hobnailaspekt ausgekleidet. Die Kernatypien sind äusserst gering.
Klinik
Infarktpneumonie
Bilder Typ
Histologie
Vergrösserung
400
Alter
79
Geschlecht
unbekannt
Datum
Ersteintrag: 30.03.2003
Update: 28.03.2005
CPS
·
©
2025 Institut für Pathologie Basel
/
Dr. med. Katharina Glatz-Krieger
.
·
v2.2