Wichtiger Sicherheitshinweis: Pathorama wurde zwischen dem 26. und 27. Dezember 2025 angegriffen. Falls Sie die Website in diesem Zeitraum besucht haben, lesen Sie bitte die wichtigen Informationen hier:
Zur Information

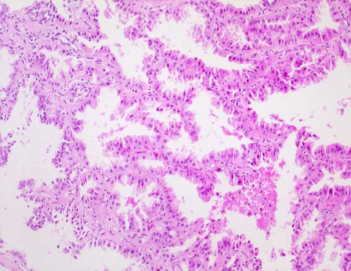
PathoPic – image database / PathoPic ID 6576 - Nicht muzinöses Bronchioloalveoläres Karzinom

de
Diagnose
Nicht muzinöses Bronchioloalveoläres Karzinom
Diagnose Gruppe
maligner Tumor
Topographie
Lunge
Topographie Gruppe
Lunge, Mediastinum mit Thymus
Beschreibung
Die Alveolarsepten werden von hochprismatischen Zellen mit reichlich eosinophilem Zytoplasma ausgekleidet. Das Alveolargerüst ist erhalten und nicht wesentlich verdickt.
Klinik
Infarktpneumonie
Bilder Typ
Histologie
Vergrösserung
100
Alter
79
Geschlecht
unbekannt
Datum
Ersteintrag: 30.03.2003
Update: 28.03.2005