Wichtiger Sicherheitshinweis:
Pathorama wurde zwischen dem
26. und 27. Dezember 2025
angegriffen. Falls Sie die Website in diesem Zeitraum besucht haben, lesen Sie bitte die wichtigen Informationen hier:
Zur Information
Pathopic
HiPaKu
ZyPaKu
Projektinfos
PathoPic - Projekt- und Copyright-Info
About
Pathopic
HiPaKu
ZyPaKu
PathoPic – image database
/
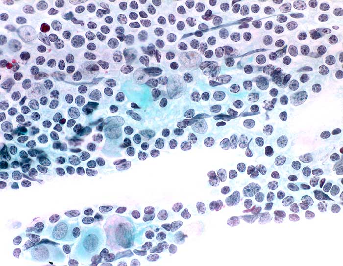
PathoPic ID 6532 - Follikuläre Zervizitis
de
Diagnose
Follikuläre Zervizitis
Diagnose Gruppe
Entzündung / Reparatur
Topographie
Portio
Topographie Gruppe
Genitalorgane, weiblich
Beschreibung
Portio/Zervixabstrich: dicht gelagerte Keimzentrumszellen.
Klinik
Vorsorgeuntersuchung
Bilder Typ
Zytologie
Vergrösserung
400
Alter
61
Geschlecht
unbekannt
Datum
Ersteintrag: 20.03.2003
Update: 10.08.2010
CPS
·
©
2025 Institut für Pathologie Basel
/
Dr. med. Katharina Glatz-Krieger
.
·
v2.2