Wichtiger Sicherheitshinweis:
Pathorama wurde zwischen dem
26. und 27. Dezember 2025
angegriffen. Falls Sie die Website in diesem Zeitraum besucht haben, lesen Sie bitte die wichtigen Informationen hier:
Zur Information
Pathopic
HiPaKu
ZyPaKu
Projektinfos
PathoPic - Projekt- und Copyright-Info
About
Pathopic
HiPaKu
ZyPaKu
PathoPic – image database
/
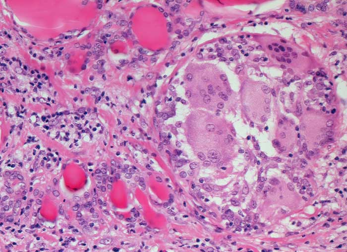
PathoPic ID 6493 - Granulomatöse Thyreoiditis de Quervain
de
Diagnose
Granulomatöse Thyreoiditis de Quervain
Diagnose Gruppe
Entzündung / Reparatur
Topographie
Schilddrüse
Topographie Gruppe
Endokrinium
Beschreibung
Das Schilddrüsenparenchym wird von einer granulomatös-riesenzelligen Entzündung zerstört.
Klinik
Unklarer Schilddrüsentumor rechts, solitär, derb
Bilder Typ
Histologie
Vergrösserung
200
Alter
48
Geschlecht
männlich
Datum
Ersteintrag: 11.03.2003
Update: 28.03.2003
CPS
·
©
2025 Institut für Pathologie Basel
/
Dr. med. Katharina Glatz-Krieger
.
·
v2.2