Wichtiger Sicherheitshinweis: Pathorama wurde zwischen dem 26. und 27. Dezember 2025 angegriffen. Falls Sie die Website in diesem Zeitraum besucht haben, lesen Sie bitte die wichtigen Informationen hier:
Zur Information

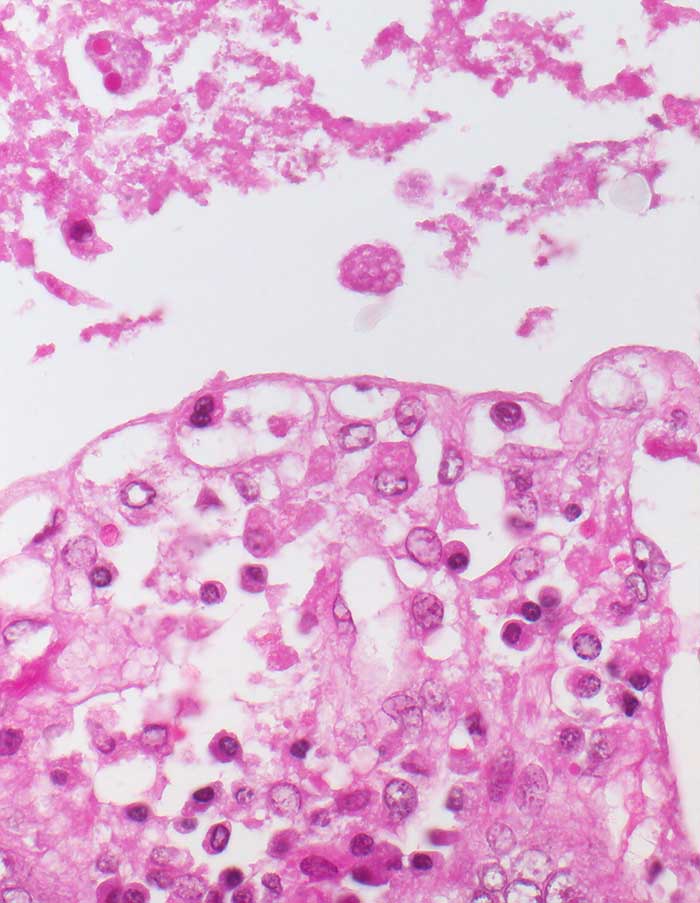
PathoPic – image database / PathoPic ID 6462 - Amöbiasis

de
Diagnose
Amöbiasis
Diagnose Gruppe
Entzündung infektiös
Topographie
Kolon ascendens
Topographie Gruppe
Darm, Anus
Beschreibung
Lockeres Entzündungsinfiltrat ohne Beteiligung von neutrophilen Granulozyten. Rundliche Magnaform von Entamoeba histolytica mit rundem Kern und phagozytierten Erythrozyten im Gewebe am Rand des Ulkus.
Klinik
Entwicklungshelfer in Tansania mit blutiger Diarrhoe.
Kommentar
Die gewebsinvasiven Throphozoiten bewirken an der Schleimhautbasis eine Histolyse an der Grenze zur Muscularis mucosae unter Ablösung der Schleimhaut. Bei 90-99% der Infizierten verläuft der Infekt asymptomatisch (intestinale Darmlumeninfektion mit Erregerausscheidung). Die restlichen Patienten leiden an einer invasiven Amöbiasis. Die Krankheit kommt vor allem in den Tropen und Subtropen, seltenerweise aber auch in Mitteleuropa vor. Es gibt ein vegetatives Stadium der Trophozoiten und Zysten, die aus bis zu vier Trophozoiten gebildet werden. Im Dünndarm werden aus ingestierten Zysten Trophozoiten freigesetzt in Form von apathogenen Kommensalen, der Minutaform (12-18 Mikrometer) und der histolytischen Magnaform (bis 20-30 Mikrometer) mit Erythrophagozytose. Die Freisetzung proteolytischer Enzyme bewirkt eine Kolliquationsnekrose. Bei chronischer Ulzeration entwickelt sich ein Amöbom bestehend aus Granulationsgewebe, das den Darm einengen und ein Karzinom imitieren kann. Häufigste Komplikation ist der Leberabszess.
Bilder Typ
Histologie
Vergrösserung
400
Alter
35
Geschlecht
männlich
Datum
Ersteintrag: 24.02.2003
Update: 28.03.2003