Wichtiger Sicherheitshinweis:
Pathorama wurde zwischen dem
26. und 27. Dezember 2025
angegriffen. Falls Sie die Website in diesem Zeitraum besucht haben, lesen Sie bitte die wichtigen Informationen hier:
Zur Information
Pathopic
HiPaKu
ZyPaKu
Projektinfos
PathoPic - Projekt- und Copyright-Info
About
Pathopic
HiPaKu
ZyPaKu
PathoPic – image database
/
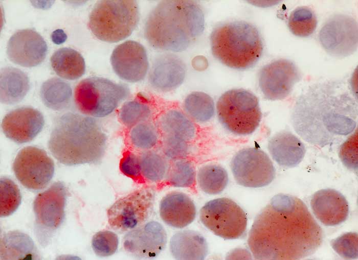
PathoPic ID 6410 - Langerhanszell Histiozytose
de
Diagnose
Langerhanszell Histiozytose
Topographie
Broncho-alveoläre Lavage
Topographie Gruppe
Lunge, Mediastinum mit Thymus
Beschreibung
Bronchoalveoläre Lavage: Kleine Gruppe von CD1a positiven Langerhanszellen.
Zusatzbefund
CD1a positive Langerhanszellen und elektronenmikroskopischer Nachweis von Birbeck-Granula.
Klinik
V.a. Langerhanszellhistiozytose
Bilder Typ
Zytologie
Immunhistochemie
CD1a
Vergrösserung
630
Alter
47
Geschlecht
unbekannt
Datum
Ersteintrag: 12.02.2003
Update: 28.03.2003
CPS
·
©
2025 Institut für Pathologie Basel
/
Dr. med. Katharina Glatz-Krieger
.
·
v2.2