Wichtiger Sicherheitshinweis: Pathorama wurde zwischen dem 26. und 27. Dezember 2025 angegriffen. Falls Sie die Website in diesem Zeitraum besucht haben, lesen Sie bitte die wichtigen Informationen hier:
Zur Information

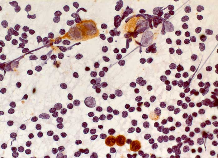
PathoPic – image database / PathoPic ID 6408 - Hodgkin Lymphom: Reed-Sternberg Zelle

de
Diagnose
Hodgkin Lymphom: Reed-Sternberg Zelle
Diagnose Gruppe
maligner Tumor
Topographie
Lymphknoten, Kopf-cervikal
Topographie Gruppe
Lymphatische Gewebe, KM, Milz
Beschreibung
Feinnadelpunktion Lymphknoten cervikal links: Die grosse zweikernige Reed-Sternberg Zelle ist positiv für CD15. Die eosinophilen Granulozyten im reaktiven Infiltrat reagieren ebenfalls positiv.
Zusatzbefund
Histologisch Hodgkin Lymphom, Mischzelltyp.
Klinik
Lymphadenopathie zervikal beidseits seit >1 Jahr.
Kommentar
Zytologische Diagnose: Malignes Hodgkin-Lymphom.
Befund spricht am ehesten für ein klassisches Hodgkin-Lymphom vom Mischtyp. Die genaue histologische Klassifikation sollte jedoch am histologischen Präparat erfolgen.
Bilder Typ
Zytologie
Immunhistochemie
CD15 (Leu-M1)
Vergrösserung
400
Alter
27
Geschlecht
männlich
Datum
Ersteintrag: 12.02.2003
Update: 28.03.2003