Wichtiger Sicherheitshinweis:
Pathorama wurde zwischen dem
26. und 27. Dezember 2025
angegriffen. Falls Sie die Website in diesem Zeitraum besucht haben, lesen Sie bitte die wichtigen Informationen hier:
Zur Information
Pathopic
HiPaKu
ZyPaKu
Projektinfos
PathoPic - Projekt- und Copyright-Info
About
Pathopic
HiPaKu
ZyPaKu
PathoPic – image database
/
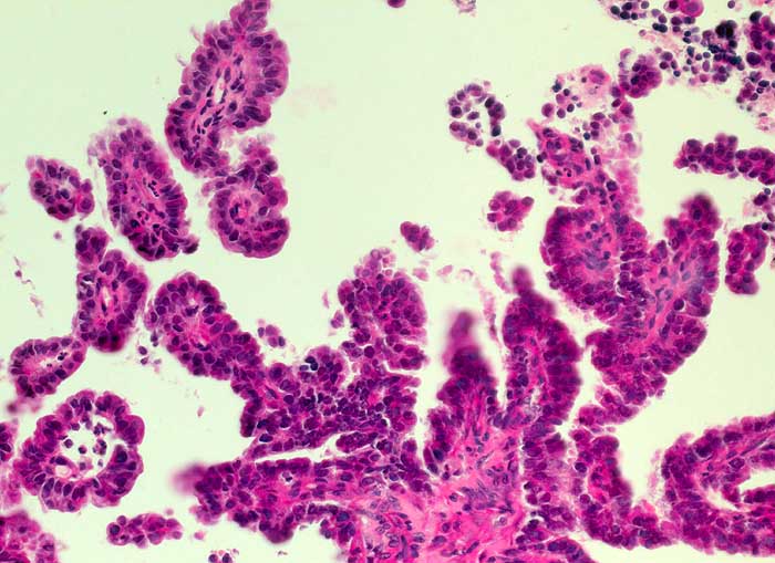
PathoPic ID 6392 - seröses papilläres Adenokarzinom des Endometrium
de
Diagnose
seröses papilläres Adenokarzinom des Endometrium
Diagnose Gruppe
maligner Tumor
Topographie
Portio
Topographie Gruppe
Genitalorgane, weiblich
Beschreibung
Plumpe Papillen ausgekleidet von einem kubischen einreihigen Epithel mit hochgradig atypischen Kernen.
Klinik
St.n. Hysteroskopie, Curettage und Endometriumresektion wegen postmenopausaler-Blutung. Hoch aufgebautes Endomometrium.
Bilder Typ
Histologie
Vergrösserung
200
Alter
65
Geschlecht
unbekannt
Datum
Ersteintrag: 11.02.2003
Update: 10.08.2010
CPS
·
©
2025 Institut für Pathologie Basel
/
Dr. med. Katharina Glatz-Krieger
.
·
v2.2