Wichtiger Sicherheitshinweis:
Pathorama wurde zwischen dem
26. und 27. Dezember 2025
angegriffen. Falls Sie die Website in diesem Zeitraum besucht haben, lesen Sie bitte die wichtigen Informationen hier:
Zur Information
Pathopic
HiPaKu
ZyPaKu
Projektinfos
PathoPic - Projekt- und Copyright-Info
About
Pathopic
HiPaKu
ZyPaKu
PathoPic – image database
/
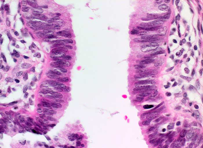
PathoPic ID 6390 - Adenocarcinoma in situ, AIS
de
Diagnose
Adenocarcinoma in situ, AIS
Diagnose Gruppe
Präneoplasie/ Atypie/ Dignität?
Topographie
Zervix
Topographie Gruppe
Genitalorgane, weiblich
Beschreibung
Von atypischem mehrreihigen Epithel ausgekleidete Zervixdrüsen. Die Kerne überlagern sich teilweise, sind vergrössert und hyperchromatisch.
Klinik
Langzeitbehandlung mit Provera.
Bilder Typ
Histologie
Vergrösserung
400
Alter
29
Geschlecht
unbekannt
Datum
Ersteintrag: 11.02.2003
Update: 30.07.2010
CPS
·
©
2025 Institut für Pathologie Basel
/
Dr. med. Katharina Glatz-Krieger
.
·
v2.2