Wichtiger Sicherheitshinweis:
Pathorama wurde zwischen dem
26. und 27. Dezember 2025
angegriffen. Falls Sie die Website in diesem Zeitraum besucht haben, lesen Sie bitte die wichtigen Informationen hier:
Zur Information
Pathopic
HiPaKu
ZyPaKu
Projektinfos
PathoPic - Projekt- und Copyright-Info
About
Pathopic
HiPaKu
ZyPaKu
PathoPic – image database
/
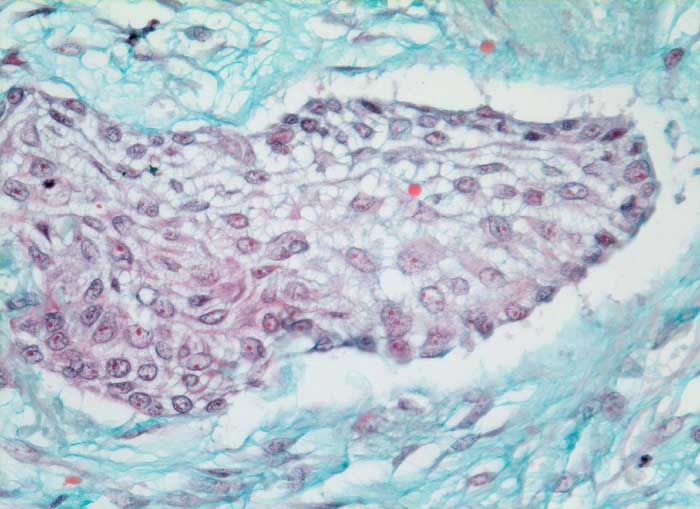
PathoPic ID 6341 - mässig differenziertes Plattenepithelkarzinom
de
Diagnose
mässig differenziertes Plattenepithelkarzinom
Diagnose Gruppe
maligner Tumor
Topographie
Lunge
Topographie Gruppe
Lunge, Mediastinum mit Thymus
Beschreibung
Solider Tumorzellverband ohne erkennbare Verhornung. Die Desmosomen zwischen den Zellen sind sehr gut erkennbar. Reichlich desmoplastisches Stroma.
Bilder Typ
Histologie
Vergrösserung
320
Alter
69
Geschlecht
unbekannt
Datum
Ersteintrag: 02.02.2003
Update: 28.03.2003
CPS
·
©
2025 Institut für Pathologie Basel
/
Dr. med. Katharina Glatz-Krieger
.
·
v2.2