Wichtiger Sicherheitshinweis:
Pathorama wurde zwischen dem
26. und 27. Dezember 2025
angegriffen. Falls Sie die Website in diesem Zeitraum besucht haben, lesen Sie bitte die wichtigen Informationen hier:
Zur Information
Pathopic
HiPaKu
ZyPaKu
Projektinfos
PathoPic - Projekt- und Copyright-Info
About
Pathopic
HiPaKu
ZyPaKu
PathoPic – image database
/
PathoPic ID 6339 - Karzinoid
de
Diagnose
Karzinoid
Diagnose Gruppe
benigner Tumor
Topographie
Lunge
Topographie Gruppe
Lunge, Mediastinum mit Thymus
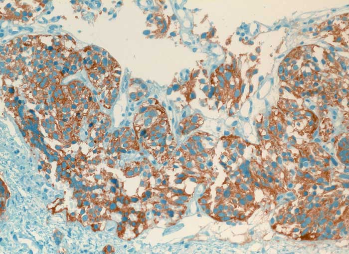
Beschreibung
Die spindeligen Tumorzellen exprimieren den endokrinen Marker Synaptophysin.
Klinik
V. a. Tumor pulmonal
Bilder Typ
Histologie
Immunhistochemie
Synaptophysin
Vergrösserung
200
Alter
58
Geschlecht
männlich
Datum
Ersteintrag: 31.01.2003
Update: 28.03.2003
CPS
·
©
2025 Institut für Pathologie Basel
/
Dr. med. Katharina Glatz-Krieger
.
·
v2.2