Wichtiger Sicherheitshinweis: Pathorama wurde zwischen dem 26. und 27. Dezember 2025 angegriffen. Falls Sie die Website in diesem Zeitraum besucht haben, lesen Sie bitte die wichtigen Informationen hier:
Zur Information

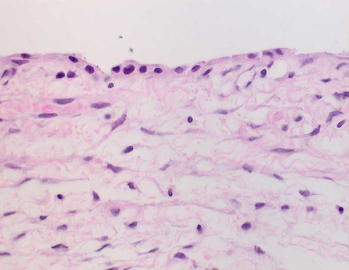
PathoPic – image database / PathoPic ID 6251 - Seröses Zystadenom des Ovars

de
Diagnose
Seröses Zystadenom des Ovars
Diagnose Gruppe
benigner Tumor
Topographie
Ovar
Topographie Gruppe
Genitalorgane, weiblich
Beschreibung
Fibrosierter Zystenbalg ausgekleidet von einem einschichtigen kubischen Epithel mit kleinen runden Kernen ohne Atypien. Der Epithelbelag fehlt stellenweise.
Klinik
6cm grosse Ovarialzyste.
Bilder Typ
Histologie
Vergrösserung
400
Alter
52
Geschlecht
unbekannt
Datum
Ersteintrag: 28.01.2003
Update: 10.08.2010