Wichtiger Sicherheitshinweis:
Pathorama wurde zwischen dem
26. und 27. Dezember 2025
angegriffen. Falls Sie die Website in diesem Zeitraum besucht haben, lesen Sie bitte die wichtigen Informationen hier:
Zur Information
Pathopic
HiPaKu
ZyPaKu
Projektinfos
PathoPic - Projekt- und Copyright-Info
About
Pathopic
HiPaKu
ZyPaKu
PathoPic – image database
/
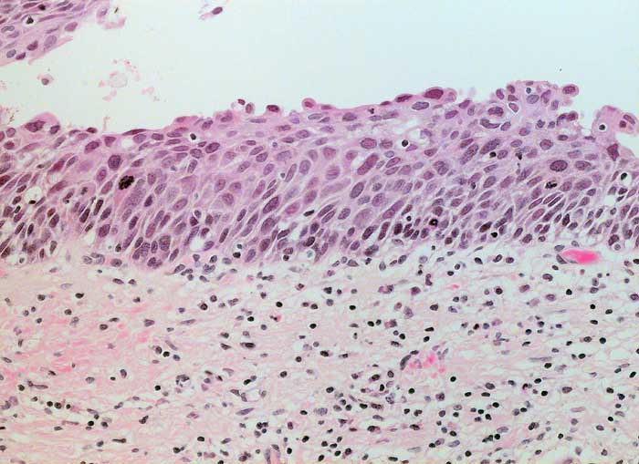
PathoPic ID 6209 - schwere Dysplasie CIN III
de
Diagnose
schwere Dysplasie CIN III
Diagnose Gruppe
Präneoplasie/ Atypie/ Dignität?
Topographie
Portio
Topographie Gruppe
Genitalorgane, weiblich
Beschreibung
Portiokonisat: Auf der gesamten Epithelbreite atypisches Epithel ohne Ausreifung.
Klinik
Weitere zytologische Kontrollen unverdächtig.
Bilder Typ
Histologie
Vergrösserung
200
Alter
60
Geschlecht
unbekannt
Datum
Ersteintrag: 28.01.2003
Update: 10.08.2010
CPS
·
©
2025 Institut für Pathologie Basel
/
Dr. med. Katharina Glatz-Krieger
.
·
v2.2