Wichtiger Sicherheitshinweis: Pathorama wurde zwischen dem 26. und 27. Dezember 2025 angegriffen. Falls Sie die Website in diesem Zeitraum besucht haben, lesen Sie bitte die wichtigen Informationen hier:
Zur Information

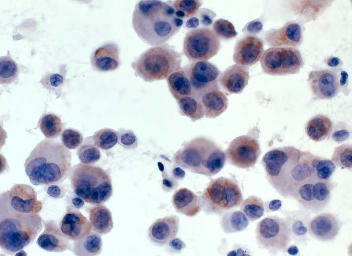
PathoPic – image database / PathoPic ID 6198 - nicht kleinzelliges Bronchuskarzinom

de
Diagnose
nicht kleinzelliges Bronchuskarzinom
Diagnose Gruppe
maligner Tumor
Topographie
Pleuraerguss Zytologie
Topographie Gruppe
Körperhöhlen, Serosa
Beschreibung
Pleuraerguss: Mit dem Panzytokeratinmarker Lu-5 färben sich sowohl Mesothelien als auch Karzinomzellen positiv an. Dieser Marker erlaubt deshalb keine Unterscheidung der beiden Zellpopulationen.
Klinik
Metastasierendes Bronchuskarzinom
Bilder Typ
Zytologie
Immunhistochemie
Lu5 Panzytokeratin
Vergrösserung
400
Alter
56
Geschlecht
männlich
Datum
Ersteintrag: 27.01.2003
Update: 28.03.2003