Wichtiger Sicherheitshinweis: Pathorama wurde zwischen dem 26. und 27. Dezember 2025 angegriffen. Falls Sie die Website in diesem Zeitraum besucht haben, lesen Sie bitte die wichtigen Informationen hier:
Zur Information

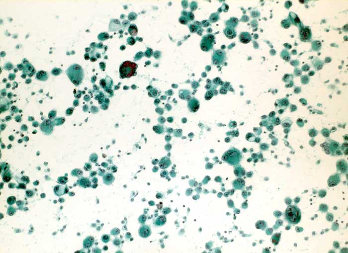
PathoPic – image database / PathoPic ID 6193 - nicht kleinzelliges Bronchuskarzinom

de
Diagnose
nicht kleinzelliges Bronchuskarzinom
Diagnose Gruppe
maligner Tumor
Topographie
Pleuraerguss Zytologie
Topographie Gruppe
Körperhöhlen, Serosa
Beschreibung
Pleuraerguss: massenhaft Zellen eines Adenokarzinoms. Die extreme Polymorphie mit sehr unterschiedlich grossen Tumorzellen passt zu einem primären Lungenkarzinom.
Klinik
Metastasierendes Bronchuskarzinom
Bilder Typ
Zytologie
Vergrösserung
100
Alter
56
Geschlecht
männlich
Datum
Ersteintrag: 27.01.2003
Update: 28.03.2003