Wichtiger Sicherheitshinweis: Pathorama wurde zwischen dem 26. und 27. Dezember 2025 angegriffen. Falls Sie die Website in diesem Zeitraum besucht haben, lesen Sie bitte die wichtigen Informationen hier:
Zur Information

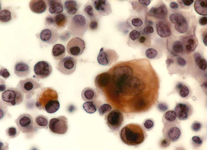
PathoPic – image database / PathoPic ID 6152 - Adenokarzinom

de
Diagnose
Adenokarzinom
Diagnose Gruppe
maligner Tumor
Topographie
Aszites
Topographie Gruppe
Körperhöhlen, Serosa
Beschreibung
Aszites: Die Tumorzellen sind positiv für Cytokeratin 20. Mesothelien und Entzündungszellen sind negativ.
Zusatzbefund
Die Karzinomzellen sind sowohl für Zytokeratin 7 als auch für Zytokeratin 20 positiv. Diese Kombination spricht eher gegen ein Magen-, Kolon- oder Ovarialkarzinom, könnte aber unter anderem zu einem Endometriumkarzinom, eventuell auch zu einem duktalen Adenokarzinom des Pankreas passen.
Klinik
Aszites unklarer Genese
Bilder Typ
Zytologie
Immunhistochemie
CK20
Vergrösserung
630
Alter
75
Geschlecht
unbekannt
Datum
Ersteintrag: 24.01.2003
Update: 28.03.2003