Wichtiger Sicherheitshinweis:
Pathorama wurde zwischen dem
26. und 27. Dezember 2025
angegriffen. Falls Sie die Website in diesem Zeitraum besucht haben, lesen Sie bitte die wichtigen Informationen hier:
Zur Information
Pathopic
HiPaKu
ZyPaKu
Projektinfos
PathoPic - Projekt- und Copyright-Info
About
Pathopic
HiPaKu
ZyPaKu
PathoPic – image database
/
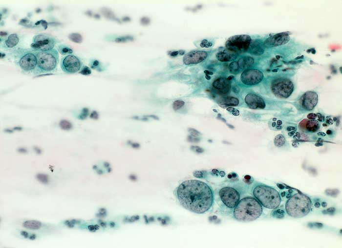
PathoPic ID 6119 - Carcinoma in situ des Plattenepithels
de
Grad
Diagnose
Carcinoma in situ des Plattenepithels
Diagnose Gruppe
Präneoplasie/ Atypie/ Dignität?
Topographie
Portio
Topographie Gruppe
Genitalorgane, weiblich
Beschreibung
Portioabstrich: Dichte Aggregate unausgereifter Epithelien mit mässig polymorphen, deutlich vergrösserten, grob strukturierten Kernen. Schmaler zyanophiler Zytoplasmaleib. Kleine Nukleolen.
Kommentar
Zytologische Diagnose: Zahlreiche Zellen aus Carcinoma in situ des Plattenepithels der Portio. Verdacht auf Mikroinvasion (Nukleolen!).
Bilder Typ
Zytologie
Vergrösserung
400
Alter
34
Geschlecht
unbekannt
Datum
Ersteintrag: 21.01.2003
Update: 10.08.2010
CPS
·
©
2025 Institut für Pathologie Basel
/
Dr. med. Katharina Glatz-Krieger
.
·
v2.2