Wichtiger Sicherheitshinweis: Pathorama wurde zwischen dem 26. und 27. Dezember 2025 angegriffen. Falls Sie die Website in diesem Zeitraum besucht haben, lesen Sie bitte die wichtigen Informationen hier:
Zur Information

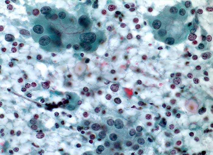
PathoPic – image database / PathoPic ID 6061 - Hashimoto Thyreoiditis

de
Diagnose
Hashimoto Thyreoiditis
Diagnose Gruppe
Systemerkrankung/Immunpathologie
Topographie
Schilddrüse
Topographie Gruppe
Endokrinium
Beschreibung
Frischgewebsabstrich Schilddrüse: Das sehr zellreiche Präparat erinnert an ein Lymphknotenpunktat. Es überwiegen Lymphozyten, vereinzelt auch Plasmazellen. Im Hintergrund onkozytäre Epithelien, die kleine Follikel bilden. Die Thyreozyten sind aktiviert und zeigen Atypien.
Klinik
Entzündliche Struma. Karzinom?
Kommentar
Die Differentialdiagnose gegenüber einem malignen Lymphom kann schwierig sein.
Bilder Typ
Zytologie
Vergrösserung
400
Alter
48
Geschlecht
männlich
Datum
Ersteintrag: 16.01.2003
Update: 17.02.2003