Wichtiger Sicherheitshinweis: Pathorama wurde zwischen dem 26. und 27. Dezember 2025 angegriffen. Falls Sie die Website in diesem Zeitraum besucht haben, lesen Sie bitte die wichtigen Informationen hier:
Zur Information

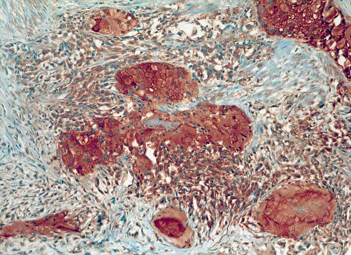
PathoPic – image database / PathoPic ID 5963 - metaplastisches Prostatakarzinom

de
Diagnose
metaplastisches Prostatakarzinom
Diagnose Gruppe
maligner Tumor
Topographie
Prostata
Topographie Gruppe
Genitalorgane, männlich
Beschreibung
Sowohl die klarzellige als auch die sarkomatoide Tumorkomponente sind stark PSAP positiv.
Zusatzbefund
Bei den immunhistochemischen Untersuchungen sind die epithelial differenzierten Tumoranteile positiv für den Epithelmarker Lu-5 und für die prostataspezifischen Marker PSA und PSAP. Die sarkomatös differenzierten Anteile sind dagegen Lu-5 negativ, zeigen aber ganz herdförmig eine schwache, aber eindeutige Positivität für PSAP (prostataspezifische saure Phosphatase). Die sarkomatösen Anteile sind ausserdem stark positiv für Vimentin und S-100. Die S-100-Positivität beweist zusammen mit der herdförmigen Ausbildung von chondroider Matrix und dem ausgedehnt myxoiden Hintergrund eine chondrosarkomatöse Differenzierung. Die myogenen Marker Actin, SMA und Desmin sind dagegen negativ bei positiver interner Kontrolle von glatten Muskelfaserbündeln und Gefässen. Der Proliferationsmarker Ki-67 wird in ca. 90% der sarkomatös differenzierten Tumorzellen, dagegen nur etwa in ca. 5% der epithelial differenzierten Anteile exprimiert.
Klinik
Bekanntes Prostata-Karzinom, palliative TUR-P bei Makrohämaturie und Harnverhalt.
Kommentar
Zusammengefasst handelt es sich hier um einen aussergewöhnlichen und seltenen Fall eines metaplastischen Karzinoms mit heterologen Anteilen (Chondrosarkom). Diese Tumoren machen lediglich ca. 0,1% aller Prostatakarzinome aus. Wie bei diesem Patienten, entwickeln sich etwa die Hälfte dieser Tumoren mit sarkomatöser Differenzierung aus einem gewöhnlichen Adenokarzinom. Die herdförmige Positivität der sarkomatösen Anteile für PSAP deutet auch hier darauf hin, dass diese durch Transformation des Adenokarzinoms entstanden sind. Einige Autoren bevorzugen deshalb auch den Begriff "metaplastisches Karzinom". Es ist denkbar, dass eine allenfalls vorausgegangene Strahlen- oder Hormontherapie bei dieser Transformation eine Rolle gespielt hat. Es handelt sich in der Regel um hoch aggressive Tumoren mit einer ungünstigen Prognose, wofür hier auch die ausserordentlich hohe proliferative Aktivität der sarkomatösen Tumoranteile spricht.
Bilder Typ
Histologie
Immunhistochemie
PSAP
Vergrösserung
100
Alter
72
Geschlecht
männlich
Datum
Ersteintrag: 06.01.2003
Update: 30.07.2010