Wichtiger Sicherheitshinweis:
Pathorama wurde zwischen dem
26. und 27. Dezember 2025
angegriffen. Falls Sie die Website in diesem Zeitraum besucht haben, lesen Sie bitte die wichtigen Informationen hier:
Zur Information
Pathopic
HiPaKu
ZyPaKu
Projektinfos
PathoPic - Projekt- und Copyright-Info
About
Pathopic
HiPaKu
ZyPaKu
PathoPic – image database
/
PathoPic ID 5954 - Talkpleurodese und eosinophile Pleuritis
de
Diagnose
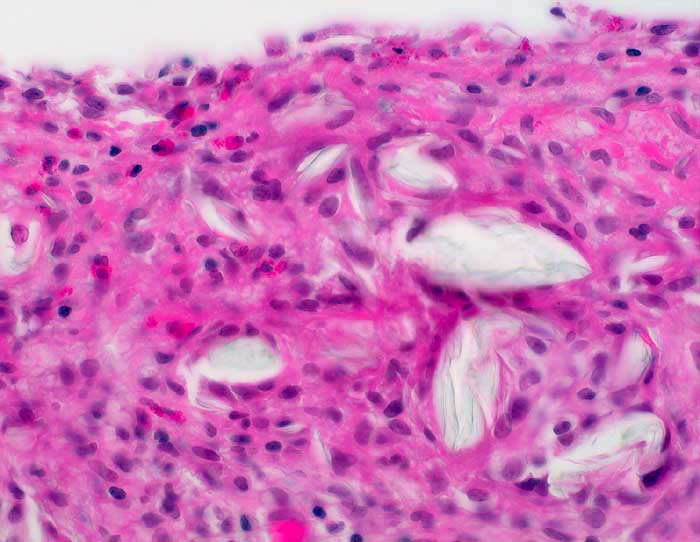
Talkpleurodese und eosinophile Pleuritis
Diagnose Gruppe
Entzündung / Reparatur
Topographie
Pleuraerguss Zytologie
Topographie Gruppe
Körperhöhlen, Serosa
Beschreibung
Reichlich doppelbrechendes Material im subpleuralen Bindegewebe. Eosinophilenreiche Entzündung.
Klinik
Persistierender Pneumothorax -> Erguss. St.n. Talkpleurodese.
Kommentar
Eine eosinophile Pleuritis tritt unter anderem bei Lufteintritt in den Pleuraraum auf. Befund passt deshalb zu klinisch angegebenem Pneumothorax.
Bilder Typ
Histologie
Vergrösserung
400
Alter
44
Geschlecht
unbekannt
Datum
Ersteintrag: 06.01.2003
Update: 19.09.2007
CPS
·
©
2025 Institut für Pathologie Basel
/
Dr. med. Katharina Glatz-Krieger
.
·
v2.2