Wichtiger Sicherheitshinweis:
Pathorama wurde zwischen dem
26. und 27. Dezember 2025
angegriffen. Falls Sie die Website in diesem Zeitraum besucht haben, lesen Sie bitte die wichtigen Informationen hier:
Zur Information
Pathopic
HiPaKu
ZyPaKu
Projektinfos
PathoPic - Projekt- und Copyright-Info
About
Pathopic
HiPaKu
ZyPaKu
PathoPic – image database
/
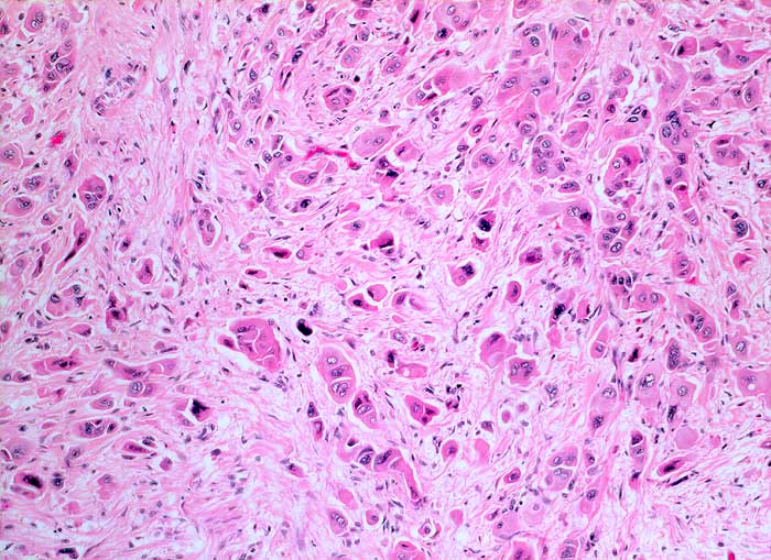
PathoPic ID 5886 - Adenokarzinom des Pankreas
de
Diagnose
Adenokarzinom des Pankreas
Diagnose Gruppe
maligner Tumor
Topographie
Pankreas
Topographie Gruppe
Leber, Gallenwege, Pankreas
Beschreibung
Das Karzinom bildet nur noch angedeutet drüsige Strukturen mit ausgeprägten Epithelatypien. Ausgeprägte Desmoplasie.
Klinik
Pankreaskopftumor
Bilder Typ
Histologie
Vergrösserung
100
Alter
66
Geschlecht
männlich
Datum
Ersteintrag: 03.01.2003
Update: 17.02.2003
CPS
·
©
2025 Institut für Pathologie Basel
/
Dr. med. Katharina Glatz-Krieger
.
·
v2.2