Wichtiger Sicherheitshinweis:
Pathorama wurde zwischen dem
26. und 27. Dezember 2025
angegriffen. Falls Sie die Website in diesem Zeitraum besucht haben, lesen Sie bitte die wichtigen Informationen hier:
Zur Information
Pathopic
HiPaKu
ZyPaKu
Projektinfos
PathoPic - Projekt- und Copyright-Info
About
Pathopic
HiPaKu
ZyPaKu
PathoPic – image database
/
PathoPic ID 5819 - Ösophagopleurale Fistel
de
Diagnose
Ösophagopleurale Fistel
Diagnose Gruppe
Entzündung / Reparatur
Topographie
Pleuraerguss Zytologie
Topographie Gruppe
Körperhöhlen, Serosa
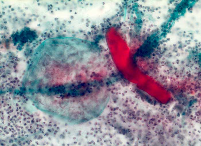
Beschreibung
Pleuraerguss: Neben neutrophilen Granulozyten und schleimartigem Material erkennt man Speisereste
pflanzlicher und
tierischer Herkunft.
Zusatzbefund
Aufgrund des zytologischen Befundes wurde der Ösophagus untersucht und radiologisch eine ösophago-pleurale Fistel nachgewiesen.
Klinik
Pyo-Pneumothorax rechts, anamnestisch Bronchiektasen. Fragestellung: Malignitätsverdächtige Zellen ?
Kommentar
Zytologische Diagnose: Ösophagopleurale Fistel
Bilder Typ
Zytologie
Vergrösserung
200
Alter
82
Geschlecht
unbekannt
Datum
Ersteintrag: 13.12.2002
Update: 17.02.2003
CPS
·
©
2025 Institut für Pathologie Basel
/
Dr. med. Katharina Glatz-Krieger
.
·
v2.2