Wichtiger Sicherheitshinweis:
Pathorama wurde zwischen dem
26. und 27. Dezember 2025
angegriffen. Falls Sie die Website in diesem Zeitraum besucht haben, lesen Sie bitte die wichtigen Informationen hier:
Zur Information
Pathopic
HiPaKu
ZyPaKu
Projektinfos
PathoPic - Projekt- und Copyright-Info
About
Pathopic
HiPaKu
ZyPaKu
PathoPic – image database
/
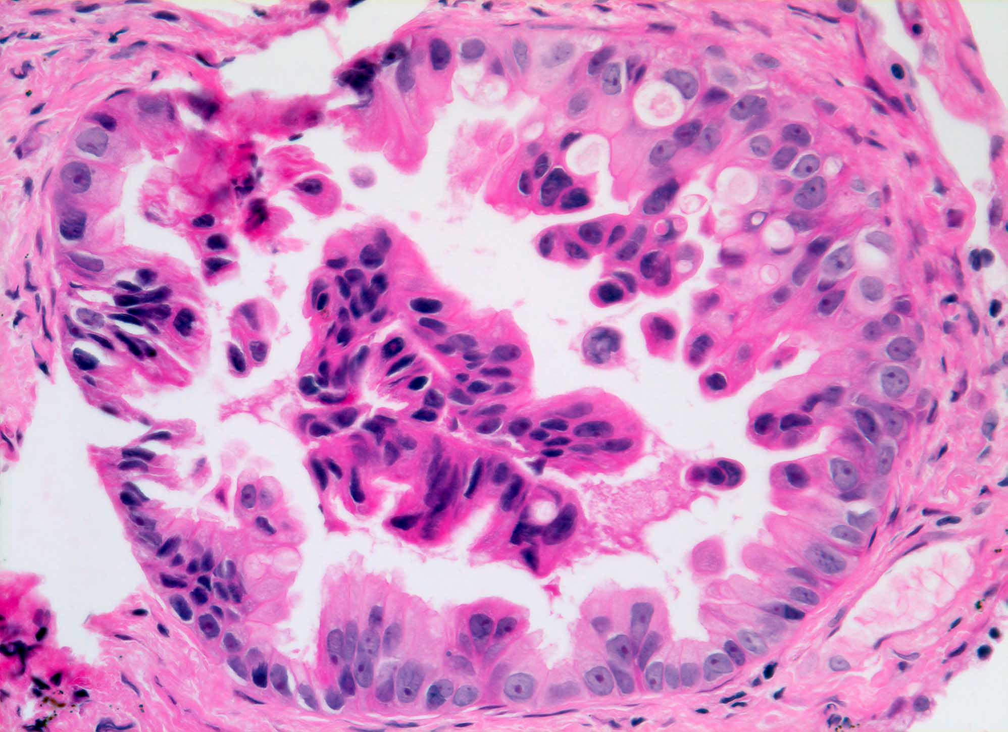
PathoPic ID 5796 - Adenokarzinom
de
Diagnose
Adenokarzinom
Diagnose Gruppe
maligner Tumor
Topographie
Bronchus
Topographie Gruppe
Lunge, Mediastinum mit Thymus
Beschreibung
Drüse ausgekleidet von atypischem Epithel mit vergrösserten basalständigen Kernen.
Zusatzbefund
Autoptischer Nachweis eines primären Bronchuskarzinoms.
Klinik
Multiple Lungenrundherde.
Bilder Typ
Histologie
Vergrösserung
320
Alter
78
Geschlecht
unbekannt
Datum
Ersteintrag: 10.12.2002
Update: 17.02.2003
CPS
·
©
2025 Institut für Pathologie Basel
/
Dr. med. Katharina Glatz-Krieger
.
·
v2.2