Wichtiger Sicherheitshinweis:
Pathorama wurde zwischen dem
26. und 27. Dezember 2025
angegriffen. Falls Sie die Website in diesem Zeitraum besucht haben, lesen Sie bitte die wichtigen Informationen hier:
Zur Information
Pathopic
HiPaKu
ZyPaKu
Projektinfos
PathoPic - Projekt- und Copyright-Info
About
Pathopic
HiPaKu
ZyPaKu
PathoPic – image database
/
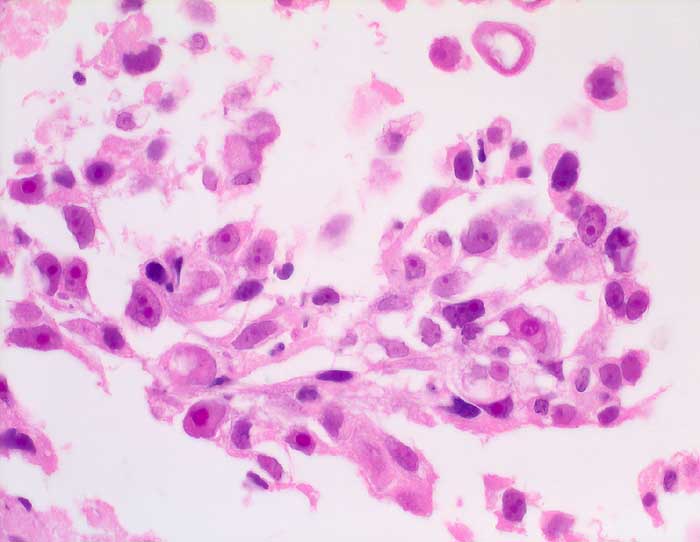
PathoPic ID 5786 - Grosszelliges Karzinom
de
Diagnose
Grosszelliges Karzinom
Diagnose Gruppe
maligner Tumor
Topographie
Lunge
Topographie Gruppe
Lunge, Mediastinum mit Thymus
Beschreibung
Grosse polymorphe Tumorzellen mit einem oder mehreren Makronukleolen. Der Tumor lässt keine Differenzierung erkennen.
Klinik
Bronchuskarzinom rechter Unterlappen
Bilder Typ
Histologie
Vergrösserung
400
Alter
63
Geschlecht
männlich
Datum
Ersteintrag: 10.12.2002
Update: 17.02.2003
CPS
·
©
2025 Institut für Pathologie Basel
/
Dr. med. Katharina Glatz-Krieger
.
·
v2.2