Wichtiger Sicherheitshinweis: Pathorama wurde zwischen dem 26. und 27. Dezember 2025 angegriffen. Falls Sie die Website in diesem Zeitraum besucht haben, lesen Sie bitte die wichtigen Informationen hier:
Zur Information

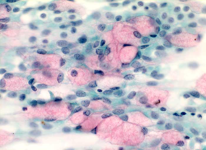
PathoPic – image database / PathoPic ID 5755 - Becherzellhyperplasie

de
Diagnose
Becherzellhyperplasie
Diagnose Gruppe
Hyperplasie / Hypertrophie
Topographie
Bronchialbürste, Zytologie
Topographie Gruppe
Lunge, Mediastinum mit Thymus
Beschreibung
Bürstenbiopsie, Bronchus: Vermehrte Becherzellen mit schleimhaltigem bauchig ausgeweitetem Zytoplasmaleib mit wabig retikulärer Struktur.
Klinik
Peripher zerfallender Rundherd
Kommentar
Die Becherzellhyperplasie ist Zeichen der chronischen Epithelreizung durch eine unspezifische Bronchitis oder bei Asthma. Sie kommt auch isoliert im Abflussgebiet von Tumoren und tuberkulösen Kavernen vor.
Bilder Typ
Zytologie
Vergrösserung
400
Alter
55
Geschlecht
unbekannt
Datum
Ersteintrag: 03.12.2002
Update: 17.02.2003