Wichtiger Sicherheitshinweis: Pathorama wurde zwischen dem 26. und 27. Dezember 2025 angegriffen. Falls Sie die Website in diesem Zeitraum besucht haben, lesen Sie bitte die wichtigen Informationen hier:
Zur Information

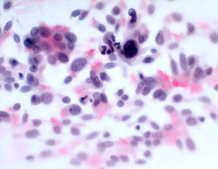
PathoPic – image database / PathoPic ID 5744 - Zytostatikaschaden des respiratorischen Epithels

de
Diagnose
Zytostatikaschaden des respiratorischen Epithels
Diagnose Gruppe
Therapiefolgen
Topographie
Bronchialbürste, Zytologie
Topographie Gruppe
Lunge, Mediastinum mit Thymus
Beschreibung
Bürstenbiopsie Bronchus: Flimmerzellen mit vergrösserten, manchmal entrundeten und hyperchromatischen Kernen. Einzelne Riesenflimmerzellen.
Klinik
St.n. Chemotherapie
Kommentar
Zytologische Diagnose: Zytostatikaschaden des respiratorischen Epithels.
Liegen die Kerne isoliert, kann es, besonders wenn zur Hyperchromasie eine gewisse Polymorphie hinzutritt, schwierig sein, die Dignität der Veränderung zu bestimmen.
Bilder Typ
Zytologie
Vergrösserung
400
Alter
66
Geschlecht
unbekannt
Datum
Ersteintrag: 02.12.2002
Update: 17.02.2003