Wichtiger Sicherheitshinweis: Pathorama wurde zwischen dem 26. und 27. Dezember 2025 angegriffen. Falls Sie die Website in diesem Zeitraum besucht haben, lesen Sie bitte die wichtigen Informationen hier:
Zur Information

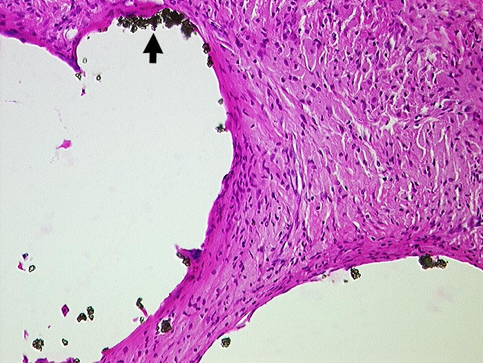
PathoPic – image database / PathoPic ID 569 - Zementabrieb

de
Diagnose
Zementabrieb
Diagnose Gruppe
Artefakt / Fremdkörper / Pigment
Topographie
Weichteile Hüfte
Topographie Gruppe
Weichteile
Beschreibung
Vernarbtes geringgradig entzündlich infiltriertes Gewebe aus dem Pfannengrund. In grossen Hohlräumen liegen Bariumpartikel. Der Zement ist durch die Verarbeitung herausgelöst worden.
Klinik
Hüft-TP Wechsel.
Bilder Typ
Histologie
Alter
46
Geschlecht
männlich
Datum
Ersteintrag: 14.11.2001
Update: 22.02.2005