Wichtiger Sicherheitshinweis:
Pathorama wurde zwischen dem
26. und 27. Dezember 2025
angegriffen. Falls Sie die Website in diesem Zeitraum besucht haben, lesen Sie bitte die wichtigen Informationen hier:
Zur Information
Pathopic
HiPaKu
ZyPaKu
Projektinfos
PathoPic - Projekt- und Copyright-Info
About
Pathopic
HiPaKu
ZyPaKu
PathoPic – image database
/
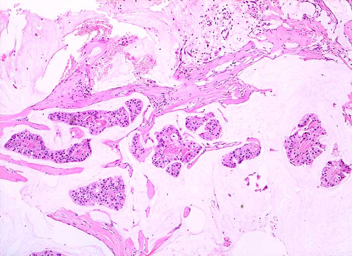
PathoPic ID 5665 - hoch differenziertes muzinöses Mammakarzinom
de
Diagnose
hoch differenziertes muzinöses Mammakarzinom
Diagnose Gruppe
maligner Tumor
Topographie
Mamma
Topographie Gruppe
Mamma
Beschreibung
Breite sklerosierte Bindegewebssepten durchziehen grosse Schleimseen, in die Tumorzellverbände mit geringen Atypien eigebettet sind.
Bilder Typ
Histologie
Vergrösserung
50
Alter
86
Geschlecht
unbekannt
Datum
Ersteintrag: 20.11.2002
Update: 14.02.2003
CPS
·
©
2025 Institut für Pathologie Basel
/
Dr. med. Katharina Glatz-Krieger
.
·
v2.2