Wichtiger Sicherheitshinweis: Pathorama wurde zwischen dem 26. und 27. Dezember 2025 angegriffen. Falls Sie die Website in diesem Zeitraum besucht haben, lesen Sie bitte die wichtigen Informationen hier:
Zur Information

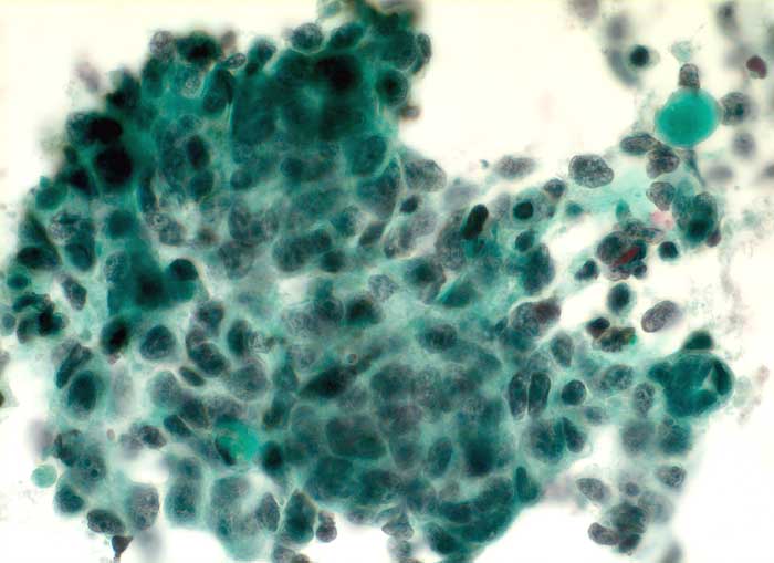
PathoPic – image database / PathoPic ID 5641 - Plattenepithelkarzinom: Hirnmetastase

de
Diagnose
Plattenepithelkarzinom: Hirnmetastase
Diagnose Gruppe
maligner Tumor
Topographie
Hirn frontal
Topographie Gruppe
Nervensystem
Beschreibung
Schnellschnittflüssigkeit Hirn frontal rechts: hochgradig atypische Epithelien bilden einen grösseren Verband. Die Kerne sind deutlich vergrössert, hyperchromatisch und stark polymorph. Das Chromatin ist grob gekörnt, die Kerne ähneln teilweise Lavabrocken. Pro Kern erkennt man 1-2 vergrösserte Nukleolen. Das Zytoplasma ist teils schmal und uncharakteristisch, gelegentlich polygonal.
Klinik
Metastasierendes Karzinom. Lungenkarzinom.
Kommentar
Zytologische Diagnose: Schnellschnittflüssigkeit Gehirn: Zahlreiche Karzinomzellen. Befund vereinbar mit Metastase eines Plattenepithelkarzinoms.
Bilder Typ
Zytologie
Vergrösserung
400
Alter
63
Geschlecht
männlich
Datum
Ersteintrag: 26.12.2002
Update: 14.02.2003