Wichtiger Sicherheitshinweis:
Pathorama wurde zwischen dem
26. und 27. Dezember 2025
angegriffen. Falls Sie die Website in diesem Zeitraum besucht haben, lesen Sie bitte die wichtigen Informationen hier:
Zur Information
Pathopic
HiPaKu
ZyPaKu
Projektinfos
PathoPic - Projekt- und Copyright-Info
About
Pathopic
HiPaKu
ZyPaKu
PathoPic – image database
/
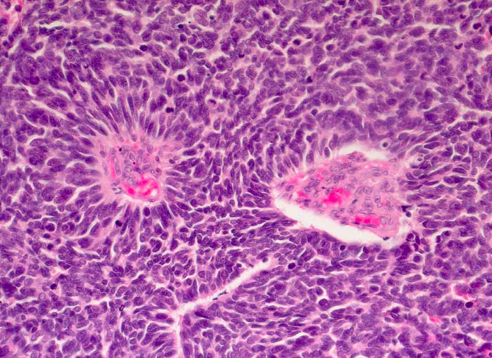
PathoPic ID 5639 - Kleinzelliges Karzinom: Hirnmetastase
de
Diagnose
Kleinzelliges Karzinom: Hirnmetastase
Diagnose Gruppe
maligner Tumor
Topographie
Hirn occipital
Topographie Gruppe
Nervensystem
Beschreibung
Kleine dichtgepackte Tumorzellen mit eckigen hyperchromatischen Kernen und spärlich Zytoplasma. Pseudorosettenbildung um Gefässe.
Klinik
Metastasierendes Karzinom. Vor fünf Jahren Operation eines kleinzelligen Lungenkarzinoms.
Bilder Typ
Histologie
Vergrösserung
200
Alter
56
Geschlecht
männlich
Datum
Ersteintrag: 26.12.2002
Update: 14.02.2003
CPS
·
©
2025 Institut für Pathologie Basel
/
Dr. med. Katharina Glatz-Krieger
.
·
v2.2