Wichtiger Sicherheitshinweis: Pathorama wurde zwischen dem 26. und 27. Dezember 2025 angegriffen. Falls Sie die Website in diesem Zeitraum besucht haben, lesen Sie bitte die wichtigen Informationen hier:
Zur Information

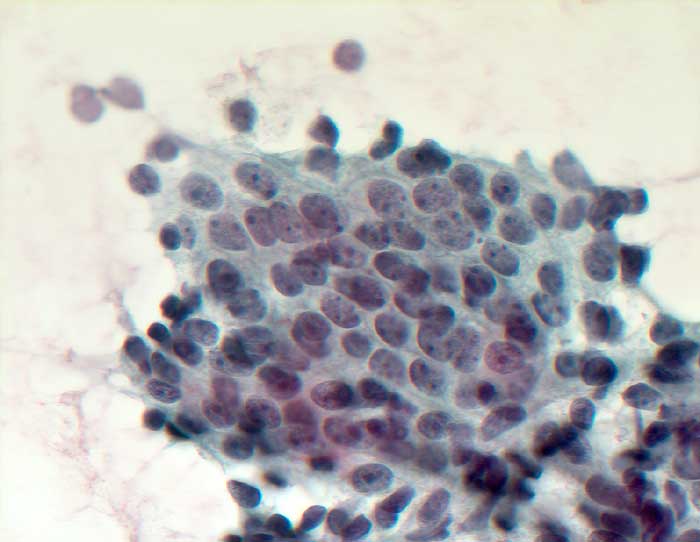
PathoPic – image database / PathoPic ID 5622 - Wenig differenziertes Adenokarzinom der Prostata

de
Diagnose
Wenig differenziertes Adenokarzinom der Prostata
Diagnose Gruppe
maligner Tumor
Topographie
Prostata
Topographie Gruppe
Genitalorgane, männlich
Beschreibung
Prostata, Feinnadelpunktion: Karzinomzellverband. Die Kerne der Karzinomzellen sind deutlich grösser als die Kerne von regulärem Prostataepithel, hyperchromatisch mit plumpen Nukleolen.
Klinik
PSA 61.1
Kommentar
Zytologische Diagnose: Wenig differenziertes Adenokarzinom der Prostata
Bilder Typ
Zytologie
Vergrösserung
400
Alter
63
Geschlecht
männlich
Datum
Ersteintrag: 26.12.2002
Update: 30.07.2010