Wichtiger Sicherheitshinweis:
Pathorama wurde zwischen dem
26. und 27. Dezember 2025
angegriffen. Falls Sie die Website in diesem Zeitraum besucht haben, lesen Sie bitte die wichtigen Informationen hier:
Zur Information
Pathopic
HiPaKu
ZyPaKu
Projektinfos
PathoPic - Projekt- und Copyright-Info
About
Pathopic
HiPaKu
ZyPaKu
PathoPic – image database
/
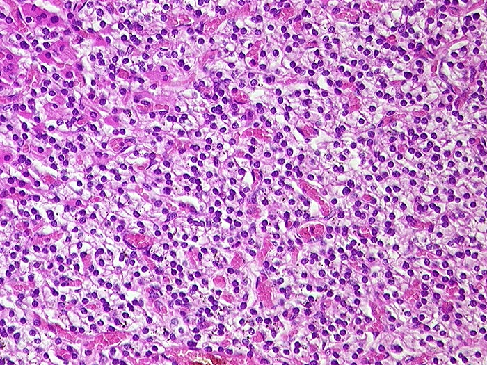
PathoPic ID 559 - Sekundärer Hyperparathyreoidismus: Hauptzell-Hyperplasie
de
Diagnose
Sekundärer Hyperparathyreoidismus: Hauptzell-Hyperplasie
Diagnose Gruppe
Hyperplasie / Hypertrophie
Topographie
Nebenschilddrüse
Topographie Gruppe
Endokrinium
Beschreibung
Hauptzellen mit klarem Zytoplasma und kleinen runden Kernen. Fehlendes Fettgewebe.
Klinik
Dialyse seit Jahren bei terminaler Niereninsuffizienz wegen Analgetikanephropathie.
Bilder Typ
Histologie
Alter
75
Geschlecht
unbekannt
Datum
Ersteintrag: 14.11.2001
CPS
·
©
2025 Institut für Pathologie Basel
/
Dr. med. Katharina Glatz-Krieger
.
·
v2.2