Wichtiger Sicherheitshinweis: Pathorama wurde zwischen dem 26. und 27. Dezember 2025 angegriffen. Falls Sie die Website in diesem Zeitraum besucht haben, lesen Sie bitte die wichtigen Informationen hier:
Zur Information

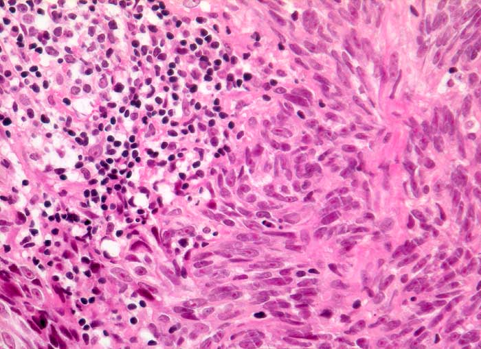
PathoPic – image database / PathoPic ID 5578 - Malignes Melanom

de
Diagnose
Malignes Melanom
Diagnose Gruppe
maligner Tumor
Topographie
Lymphknoten, Axilla
Topographie Gruppe
Lymphatische Gewebe, KM, Milz
Beschreibung
Links im Bild Reste des Lymphknotens. Zu kurzen Faszikeln angeordnete Tumorzellen mit spindeligen Kernen und auffallenden eosinophilen Nukleolen. Kein Pigmentnachweis.
Klinik
Seit zwei Monaten zunehmende axilläre Lymphknotenschwellung.
Bilder Typ
Histologie
Vergrösserung
320
Alter
74
Geschlecht
männlich
Datum
Ersteintrag: 23.12.2002
Update: 11.02.2003